НДКТ-скрининг: ключ к ранней диагностике рака легкого

Эффективный метод диагностики рака легкого
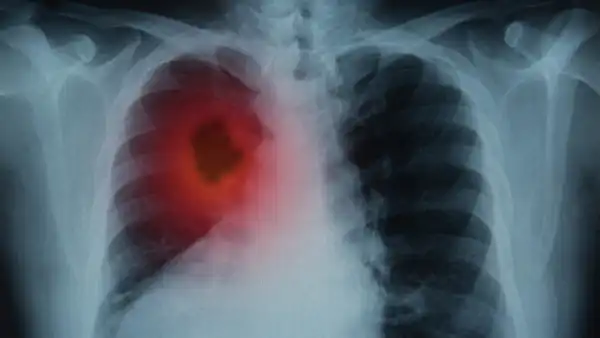
Рак легкого — одно из самых опасных онкологических заболеваний, однако существует надежный метод его диагностики — НДКТ-скрининг, который может спасти множество жизней. Об этом сообщил профессор и заслуженный врач Петр Яблонский в интервью.
Сложности выявления заболевания
По словам специалиста, основная проблема с диагностикой рака легкого заключается в том, что нижние отделы дыхательной системы не имеют нервных окончаний. Это приводит к тому, что болезнь может долгое время развиваться без явных симптомов. Симптомы, такие как кашель или усталость, пациенты часто воспринимают как простуду или возрастные изменения.
"Без лечения медиана выживаемости у больных даже на первой стадии составляет всего около 16 месяцев. А у нас, согласно официальным данным, 43 процента новых случаев выявляются уже на четвертой стадии," — отметил главный торакальный хирург Минздрава России.
Преимущества НДКТ-скрининга
Профессор Яблонский подчеркивает, что медицинское сообщество активно поддерживает внедрение скрининга с использованием низкодозной компьютерной томографии (КТ). Раннее выявление рака легкого на первой стадии значительно увеличивает пятилетнюю выживаемость пациентов, которая составляет от 92 до 98 процентов.
Профессор также напоминает, что положительное влияние скрининга было доказано еще в 1990-х годах. В то время проведенные исследования показали, что среди курильщиков старше 50 лет смертность от рака легкого снизилась на 25 процентов благодаря раннему выявлению.
Более поздние исследования подтвердили еще более высокую эффективность НДКТ-скрининга, продемонстрировав снижение смертности вдвое.
- Основы столового этикета
- Правила сервировки
- Этикет за столом
- Приборы и посуда
- Этикет на официальных приемах
- Этикет в ресторане
- Национальные особенности этикета
- Ошибки за столом
- Этикет при еде руками
- Этикет во время тостов и речей
- Как правильно есть разные блюда
- Этикет во время делового ужина
- Как вести себя на фуршете
- Этикет за семейным столом
- Этикет за детским столом
- Кейтеринг
- Координатор
- Платье
- Костюм
- Прическа и макияж
- Аксессуары
- Обручальные кольца
- Регистрация
- Медовый месяц
- Транспорт
- Развлечения
- Распорядок дня
- Конкурсы
- Речи и клятвы
- Приглашения
- Рассадка гостей
- Фото- и видеозона
- Подарки гостям
- Репетиция
- Запасной план
- Чек-лист невесты
- Беташар
- Куда түсу
- Сырға салу
- Национальные наряды
- Тойбастар
- Ұзату той
- Құдағи сый
- Асаба
- Бата беру
- Американская кухня
- Скандинавская кухня
- Африканская кухня
- Азиатская кухня
- Кавказская кухня
- Средиземноморская кухня
- Казахская кухня